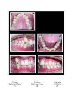
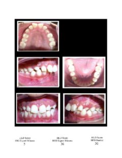
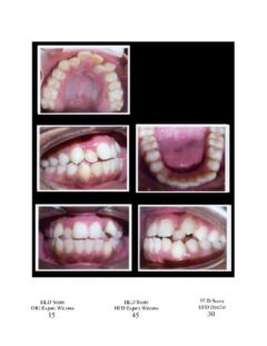
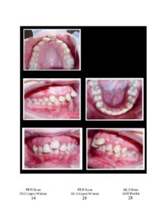
A recent review of our website content revealed to us that while PDF files containing these photos have always been on the site, perhaps they have not been as prominently displayed as they should be. Medicaid after all is about benefiting indigent children and the controversy is whether or not children such as these should have been treated under Texas Medicaid as the regulations were prior to 2012.
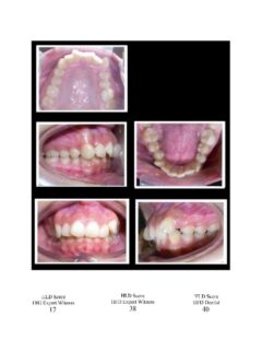
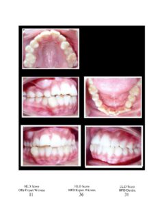
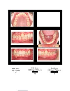
So here again are photos of children’s teeth that were pre-approved for treatment by the state’s Medicaid claims administrator TMHP/ACS, that HHSC-OIG now claims were fraudulently scored by Medicaid dental providers. These cases are from the SOAH hearings that have been completed for Harlingen Family Dentistry and Antoine Dental Center. The SOAH courts found both practices innocent of any allegation of Medicaid fraud or misrepresentation. The photo pages show the attending dentist’s HLD score, the dentist’s expert witness score and the OIG expert’s score.
(Click on an image for a larger version)
Harlingen Family Dentistry
Antoine Dental Center




















